Cabinet Dentaire Marignane
Chirurgiens-Dentistes à Marignane (13700)
7 Pl. de la République, 13700 Marignane
+33 4 42 40 03 09
Cabinet Dentaire Marignane
Chirurgiens-Dentistes à Marignane (13700)

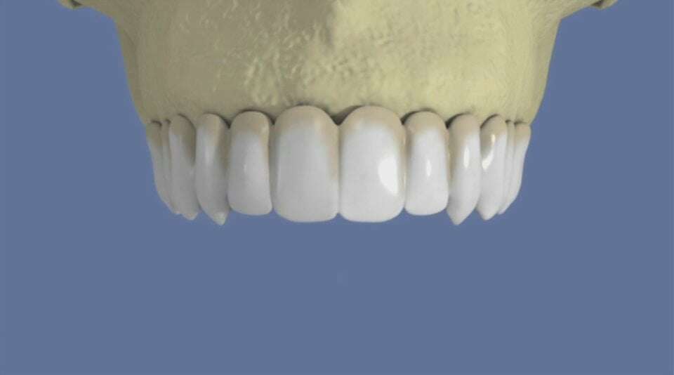
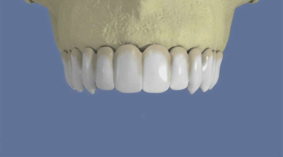
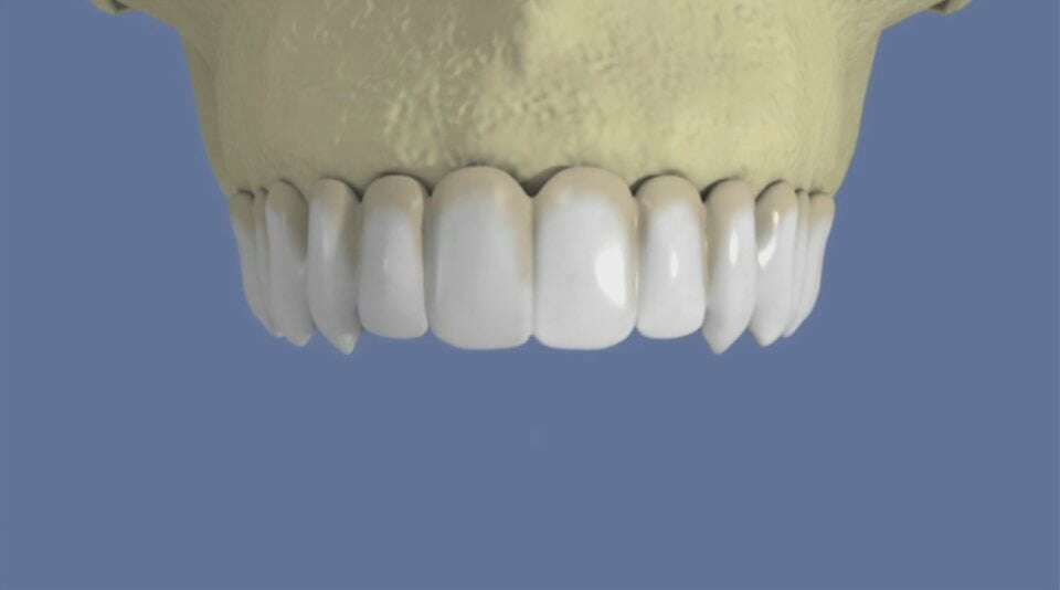
Maxillaire : bridge vissé sans fausse gencive


video-play-icon

Articles similaires

Création par Webdentiste

Connexion