Esthétique du sourire • Marignane

Esthétique du sourire à Marignane (13700)

Éclaircissement, facettes, harmonisation : un résultat net, maîtrisé, et surtout adapté à votre dentition.

7 Pl. de la République, 13700 Marignane

À qui s’adresse l’esthétique du sourire ?

Si vous pensez “ce n’est pas assez grave pour consulter”, c’est souvent exactement le bon moment. L’esthétique du sourire vise à corriger ce qui vous gêne, même si votre dentition est saine.

Dent jaunie - avant Avant
Dent blanche - après Après
  • Vos dents sont ternes ou jaunies : vous avez l’impression que votre sourire “fait fatigué”, malgré un bon brossage.
  • Vous avez de petites irrégularités de forme : une dent plus courte, un bord irrégulier, une asymétrie qui attire votre regard.
  • Vous avez de légers espaces ou des bords usés : dents légèrement écartées, bords aplatis (bruxisme), usure visible sur les incisives.
  • Votre sourire vous semble déséquilibré : teintes différentes, une dent qui “ressort”, harmonie générale qui ne vous plaît pas.
  • Vous ressentez une gêne au quotidien : vous souriez moins sur les photos, vous cachez votre bouche, ou vous n’osez pas sourire franchement.

L’objectif : un résultat net, naturel, et cohérent avec votre visage — sans transformer votre sourire en quelque chose d’artificiel.

Prendre rendez-vous sur Doctolib

Choisissez votre motif et un créneau disponible. Confirmation immédiate.

Prendre RDV
Esthétique

Ce qu’on peut améliorer (concrètement)

L’objectif n’est pas de “changer votre sourire”, mais de corriger ce qui se voit et ce qui vous gêne, de façon nette et maîtrisée.

Teinte (éclaircissement)

Quand le sourire paraît terne ou jauni, on peut retrouver un rendu plus lumineux, sans effet artificiel.

Forme / alignement visuel (facettes)

Pour harmoniser une dent trop courte, un bord irrégulier, un léger décalage ou un sourire qui manque d’équilibre.

Symétrie du sourire

Rééquilibrer l’ensemble (hauteurs, bords, proportions) pour un sourire plus “propre” au premier regard.

Petits défauts

Taches persistantes, bords usés, micro-fissures, irrégularités qui accrochent la lumière.

Bon à savoir

On vous explique ce qui est réaliste dans votre cas, et on vise un résultat naturel : un sourire qui vous ressemble, juste mieux.

Options

Options de traitement

Éclaircissement dentaire - dents plus blanches

Éclaircissement dentaire

Le principe

L’éclaircissement vise à réduire la teinte jaunie/terne de l’émail et à retrouver un sourire plus lumineux. Le traitement est encadré et adapté à votre situation (teinte de départ, sensibilité, habitudes).

À quoi s’attendre

  • Un résultat plus clair, avec un rendu propre et naturel.
  • Une amélioration surtout sur les teintes liées au temps, au café/thé, au tabac, etc.
  • Parfois une sensibilité passagère, qui se gère avec des consignes simples.

Limites

  • Les plombages, couronnes et facettes ne changent pas de couleur : il faut l’anticiper pour garder un résultat homogène.
  • Certaines taches profondes peuvent être moins réactives.
  • Le résultat demande un entretien (hygiène, habitudes, contrôles) pour tenir dans le temps.
Facettes dentaires - exemple

Facettes dentaires

Le principe

Les facettes sont de fines pièces (souvent en céramique) posées sur la face visible des dents pour harmoniser la forme, la teinte et l’alignement visuel. Elles permettent un résultat précis, stable et très esthétique.

Indications

  • Dents trop courtes, bords usés, forme irrégulière
  • Espaces légers entre les dents
  • Teinte difficile à corriger uniquement par éclaircissement
  • Asymétrie ou sourire “déséquilibré” à l’œil

Limites

  • Ce n’est pas une solution “standard” : elle demande un diagnostic sérieux et une indication claire.
  • L’entretien est essentiel : hygiène, contrôles, et protection si bruxisme.
  • Selon les cas, une préparation de la dent peut être nécessaire : on vous explique précisément ce qui est prévu.
Dans les deux cas, on part d’un diagnostic, on définit un plan, et un devis est systématique avant de démarrer.
Résultats

Avant / après : des résultats réalistes

Un beau résultat, ce n’est pas un “blanc éclatant” à tout prix. C’est un sourire plus propre, plus lumineux et plus harmonieux, qui reste cohérent avec votre visage et votre dentition.

  • Ce qui peut réellement s’améliorer (teinte, forme, petits défauts).
  • Le niveau de blanc possible sans effet artificiel.
  • Le type de rendu que vous recherchez (discret, naturel, plus visible).
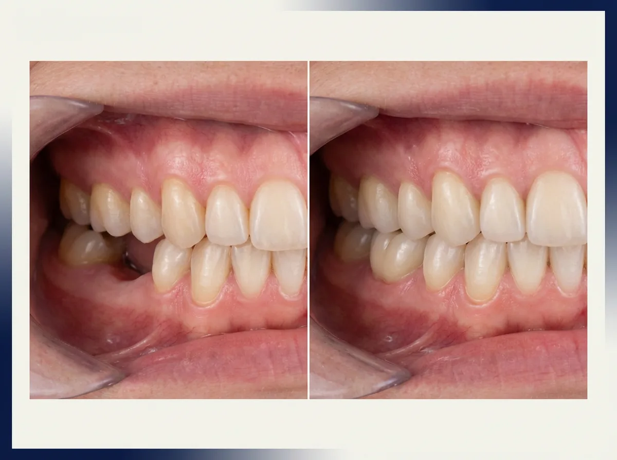
Avant après implant dentaire Implantologie

Remplacement d’une dent manquante

Objectif : retrouver une dent fixe et fonctionnelle, avec un rendu discret.

Avant après éclaircissement dentaire Esthétique

Sourire plus lumineux

Objectif : un résultat net et naturel, sans effet artificiel.

Envie de savoir ce qui est réaliste pour vous ?

Le premier rendez-vous permet d’évaluer votre situation et de définir un plan clair.

Prendre RDV
Déroulé

Déroulé au cabinet (5 étapes)

Un parcours simple : on évalue, on vous explique, vous décidez, puis on réalise avec un suivi.

1

Diagnostic

On commence par comprendre exactement votre situation : ce qui vous gêne, ce que vous souhaitez améliorer, et ce qui est possible sur votre dentition. L’objectif est d’éviter les “solutions standard” et de partir sur quelque chose de cohérent pour vous.

2

Plan + devis systématique

On vous propose ensuite un plan clair (options possibles, étapes, délais) et un devis est systématiquement remis. Vous savez ce qui est prévu, pourquoi, et dans quel ordre — avant de décider.

3

Mutuelle / administratif si besoin

Si vous le souhaitez, on vous aide à lire le devis et à préparer les éléments utiles pour votre mutuelle. Vous validez en connaissance de cause, sans zone floue.

4

Mise en place du traitement

Une fois validé, on réalise le traitement selon le plan défini. À chaque étape, vous êtes informé(e) de ce qui est fait et de ce à quoi vous devez vous attendre (sensations, consignes, entretien).

5

Suivi

Le suivi fait partie du résultat : contrôle, ajustements si nécessaire, et conseils pour garder un sourire stable et naturel dans le temps.

Prendre rendez-vous sur Doctolib

Choisissez un créneau disponible. Confirmation immédiate.

Prendre RDV
Zone couverte

Comment se rendre au cabinet dentaire

Marignane, Vitrolles, Saint-Victoret, Gignac-la-Nerthe, Les Pennes-Mirabeau, Le Rove, Châteauneuf-les-Martigues.

7 Place de la République
13700 Marignane

Itinéraire Google Maps